news | February 20, 2026

Can optic nerve hypoplasia get worse?

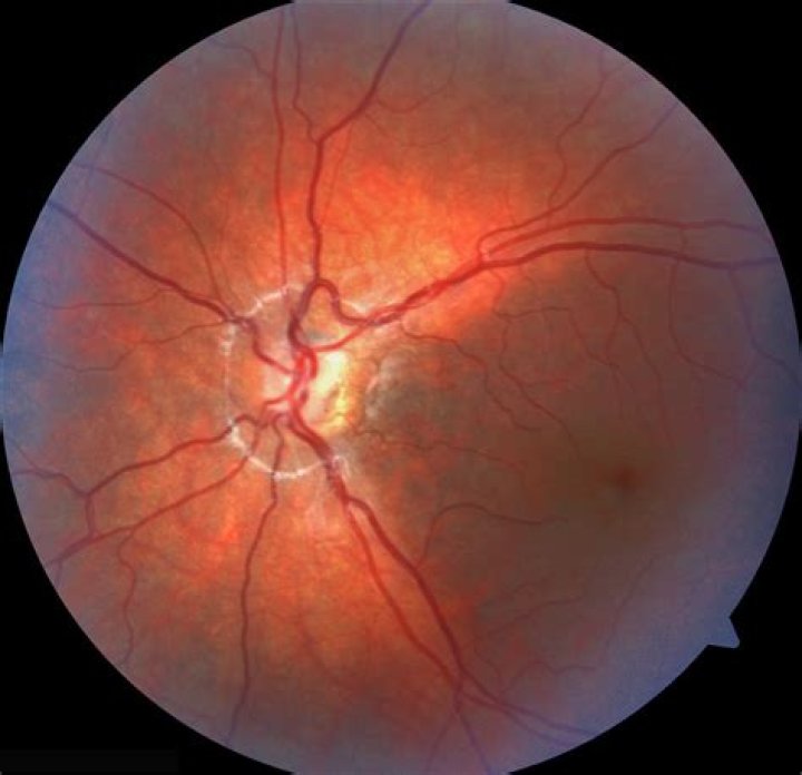
Does optic nerve hypoplasia get worse over time? In general, ONH is a stable and nonprogressive condition which does not deteriorate. Vision may improve slightly and nystagmus may decrease over time.Click to see full answer. Also question is, is optic nerve hypoplasia considered a disability?Conclusion: Children with bilateral ONH had a high risk of neurodevelopmental disorders, especially intellectual disability. This population-based cohort study of 65 patients with optic nerve hypoplasia (ONH) reports the prevalence of intellectual disability and autism in both unilateral and bilateral diseases. what causes optic nerve hypoplasia? Optic nerve hypoplasia (ONH) is a medical condition arising from the underdevelopment of the optic nerve(s). This condition is the most common congenital optic nerve anomaly. The optic disc appears abnormally small, because not all the optic nerve axons have developed properly. Also Know, can optic nerve hypoplasia be fixed? The dying back of optic nerve fibers as the child develops in utero is a natural process, and ONH may be an exaggeration of that process. ONH may occur infrequently in one eye (unilateral) but more commonly in both eyes (bilateral). ONH is not progressive, is not inherited, and cannot be cured.What is the difference between septo optic dysplasia and optic nerve hypoplasia?A child with Optic Nerve Hypoplasia has optic nerves that are small and poorly developed. The front surface of the optic nerve (optic disc) appears smaller than normal. Most people with ONH have a nystagmus (unusual eye movements).